Discovering reliable and affordable dentures in Turkey that fit comfortably and restore your smile’s natural beauty can be daunting. Many patients struggle with poorly fitting prosthetics that impact eating, speech, and confidence. Choosing cosmetic dentures in Turkey offers a solution that combines expert care, cutting-edge technology, and cost savings of up to 70%, giving you a long-lasting, comfortable smile tailored to your needs.
This article is brought to you by VK Smile Studio, the No. 1 go-to guide in Turkey. Whether you’re exploring cosmetic dentures or preparing for your appointment, we’re here to guide you. Learn about our services here or contact us.
Posted on Kel EdoTrustindex verifies that the original source of the review is Google. They were very helpful and professional. They listened to any concerns about teeth and they installed the dental implants wellPosted on Khai chiew YewTrustindex verifies that the original source of the review is Google. I found this clinic in Face book, alican and aybuke ,they are the very good dentist DR,and they try to explain everything to me,to have confidant in this dental treatment,thank youPosted on Nikita FisherTrustindex verifies that the original source of the review is Google. Really really good I’m happy with my treatmentPosted on Paula JohnsonTrustindex verifies that the original source of the review is Google. VK SMILE Studio could not fault them. brilliant from start to finish. Highly recommend.my husband had a brilliant experience no pain from start to finish. They proper take care of you. 5***** even the after care is amazingPosted on Kathleen KingTrustindex verifies that the original source of the review is Google. The whole experience at VK Smile has been wonderful from arriving from the plane and starting my treatment the very next morning!! Brilliant kind happy staff, it is so clean and very professional.Posted on Mark WorrallTrustindex verifies that the original source of the review is Google. The guys at VK took great care of me. From Ali who communicated and reassured me from on WhatsApp in the Uk to Altan the driver to Dr Root Canal (Elif.) Everybody was great. Thanks VK!!Posted on Charli Damelio EditsTrustindex verifies that the original source of the review is Google. Perfect from start to finish will communication and staff. Lovely modern clinic with all the best upto date equipment. My experience with VK smile has been nothing but 10 out of 10 Well what a fantastic experience from the very first contact through to the finished article. I 100% would recommend VK smile to anyone that wants a seamless experience and ultimately a fantastic new smile. Every single member of staff has your interests at heart and do everything they can for you and go over and above if needed. Nothing is too much trouble. Visit VK smile and change your life.Posted on Julia CorriganTrustindex verifies that the original source of the review is Google. I had a great experience. Everything was easy as they send cars to get you, you have people greeting you and the dentistry is top. The clinic is very clean and so efficient. It's a big thing, but there was minimal pain. I felt I was in expert hands. Highly recommended. I can't wait to get my permanent teeth!!! I've just had my teeth totally finished by Deniz. The end result is so good, so natural that I'm ecstatic! Fantastic all round. I can't say "wow" loudly enough! Thank you to all involved at VK Smile. Amazing!Posted on Radu GodeanuTrustindex verifies that the original source of the review is Google. Absolutely amazing people here at VK Smile Antalya. The most professional crowd. Happy to be part of the big VK Smile family of happy customers. Thank you VK SmilePosted on Ewelina SmysloTrustindex verifies that the original source of the review is Google. Moja wizyta w klinice przebiegła pomyślnie😉 Jestem zadowolona i polecam z czystym sercem ❤️
Table of Contents
What are cosmetic dentures in Turkey?
Cosmetic dentures are custom-designed dental prosthetics in Turkey that restore missing teeth, enabling improved function, speech, and smile aesthetics. These solutions are broadly divided into removable dentures, which patients can take out for cleaning, and implant-retained dentures secured by titanium implants for enhanced stability and durability.
Removable dentures in Turkey include full or partial plates that rest on the gums and can be easily removed. They usually take about 7 to 10 days to complete, involving initial impressions, wax try-ins to check fit and appearance, followed by final denture fabrication and fitting. This allows a relatively quick turnaround for patients seeking affordable yet effective tooth replacement.
Implant-retained cosmetic dentures, such as snap-in overdentures or fixed All-on-4/6/8 bridges, require a longer treatment timeline, spanning 3 to 6 months.
This period includes implant placement surgery, a healing phase called osseointegration to allow the implants to fuse with the bone, and subsequent prosthesis attachment. Although more time-consuming, implant-retained dentures offer superior chewing efficiency, comfort, and long-term oral health benefits.
Check Out Other Dental
Treatments That We Provide
Dentures in Turkey 2025: Full-Set Costs & What Affects Them
The price for dentures varies depending on several important factors, including:
- Material quality (Acrylic (PMMA), flexible nylon, porcelain, or zirconia bases)
- Manufacturing technique: Traditional laboratory fabrication versus advanced CAD/CAM digital dentures milling and 3D printing technologies
- Implant brand and number used in implant-retained overdentures or fixed bridges
- Number of try-in appointments to ensure fit and aesthetic satisfaction
- Clinic location – prices vary between popular dental cities such as Antalya, Istanbul, and others
- Additional services like IV sedation, tooth extractions, bone grafting, or sinus lifting procedures
VK Smile Studiooffers comprehensive dental packages with transparent pricing that include accommodation in the hotel & transfers, and UK/Europe meet-up support for aftercare.
Please refer to the payment plans table below, presenting estimated full-set denture TRY/GBP/EUR/USD prices.
Denture Type
Price (TRY)
Price (GBP)
Price (EUR)
Price (USD)
Removable Full Dentures (Acrylic/PMMA)
15 000 – 35 000
£600 – £1 400
€700 – €1 600
$750 – $1 800
Flexible / Nylon Partial Dentures
8 000 – 20 000
£320 – £800
€350 – €900
$400 – $1 100
Immediate Dentures
18 000 – 40 000
£720 – £1 600
€850 – €1 700
$900 – $1 900
Snap-in Overdentures (2-4 implants)
25 000 – 60 000
£1 000 – £2 400
€1 100 – €2 600
$1 200 – $2 900
Fixed Hybrid Bridges (All-on-4)
40 000 – 90 000
£1 600 – £3 600
€1 800 – €4 000
$2 000 – $5 000
Fixed Hybrid Bridges (All-on-6/8, zirconia)
55 000 – 130 000
£2 200 – £5 200
€2 500 – €5 800
$3 000 – $7 000
Pay attention: Prices updated monthly using exchange rates from the Turkish Central Bank (CBRT) and inflation adjustments.
Not sure which denture suits your case?
Learn about locator vs bar overdentures
Types of Cosmetic Dentures in Turkey (Who They’re Best For)
There is a wide selection of Turkish solutions, designed to meet diverse dental needs and lifestyles. Choosing the right denture type optimises your comfort, function, and appearance while aligning with your budget and oral health.
Complete Dentures
Complete dentures replace all teeth in the upper or lower jaw and rest directly on the gums. Comfort improves with adjustments, but initial gum soreness is common.
Stability relies on adhesives or suction, and chewing efficiency is limited compared to implant options. Patients usually consume softer foods initially. Maintenance involves daily cleaning and regular relines every 1-3 years. Expect 4-6 visits over 7 to 10 days.
Partial Dentures
Partial dentures fill gaps when some natural teeth remain, attaching securely with clasps or precision attachments. They offer better stability and chewing ability than full dentures, allowing a more normal diet with the avoidance of very hard foods.
Maintenance includes cleaning dentures and caring for remaining teeth. Treatment involves 3-5 visits.
Flexible Dentures
Flexible dentures are made of nylon or thermoplastic polymers and eliminate metal clasps. They provide superior comfort and improved aesthetics, especially for patients with sensitive gums or metal allergies.
They offer moderate chewing efficiency and good stability. Regular daily hygiene is important; durability is 3-5 years before replacement. Treatment includes 3-5 visits.
Immediate Dentures
These are fitted immediately after extractions, preventing gaps during healing. Adjustments and relining are necessary as gums shrink. Comfort and stability are moderate, enabling patients to maintain speech and diet with some restrictions. Usually completed within 2-3 closely spaced appointments.
Implant-Retained Dentures (Fixed)
These include snap-in overdentures, locator/bar designs, and fixed All-on-4, All-on-6, or All-on-8 bridges anchored to titanium implants. They deliver excellent comfort, exceptional stability, and chewing efficiency close to natural teeth, allowing for all foods.
Maintenance involves good hygiene, annual screw checks, and occasional repairs. Treatment spans 2 clinical visits plus a healing phase of several months.
Snap-in/Locator/Bar Overdentures
Snap-in overdentures combine removability with implant support via clips or bars, improving retention over traditional dentures. They offer high comfort, good chewing function, and easier cleaning compared to fixed bridges. Maintenance includes clip and attachment replacement every few years with regular hygiene. Expect 2-3 visits, including surgery and fitting phases.
Aesthetic & Materials: Acrylic/PMMA/Nylon/Porcelain/Zirconia
Dentures in Turkey are crafted from a variety of materials, each selected based on patient preferences for aesthetics, durability, and affordability.
Acrylic, polymethyl methacrylate (PMMA), is the most common material used for denture bases. It is valued for its affordability, ease of adjustment, and good initial aesthetics. It may stain over time and has moderate wear resistance, requiring replacement or relining every 3 to 5 years.
Flexible dentures are made from nylon or thermoplastic polymers, offering enhanced comfort and a more natural-looking gum appearance. These hypoallergenic materials reduce irritation and are suitable for patients with sensitive gums or metal allergies. Their durability ranges from 4 to 6 years.
Porcelain and zirconia materials stand out for their superior strength, stain resistance, and lifelike translucency. Zirconia dentures are highly durable with an expected lifespan of 10 to 15 years, but come at a higher cost and demand meticulous maintenance.
All base materials comply with ISO 20795-1 standards, ensuring safety and biocompatibility.
It is recommended that patients with fixed arches or implant-supported prosthetics wear night guards to protect against damage caused by teeth grinding or clenching.
Overdentures vs All-on-4/6/8 in Turkey (2025): Bite Force, Maintenance, Travel Days/Timelines & True 5-Year Cost
Choosing between implant overdentures and fixed All-on-4/6/8 bridges is a crucial decision for those seeking durable dentures.
Chewing Efficiency & Bite Force
Clinical studies confirm fixed All-on-4/6/8 implant bridges provide bite forces up to 4.5 times greater than traditional dentures. Overdentures enhance function but do not match fixed options, balancing removability with improved stability.
Denture Type
Approximate Bite Force
Chewing Efficiency
Conventional Complete Dentures
20-30% of natural teeth
Lowest; suitable for soft foods
Implant-Retained Overdentures
50-60% of natural teeth
Moderate; better diet variety
Fixed Full-Arch Prosthesis (All-on-4/6/8)
70-90% of natural teeth
Highest, near-natural function





Maintenance & 5-Year Totals
Overdentures require routine maintenance such as liner changes, clip replacements, and regular hygiene visits, annually or biannually, with occasional relines.
Fixed All-on-4/6/8 bridges need annual screw-tightening checks, routine cleanings, and occasional repairs or replacement of acrylic/PMMA teeth or veneers. Night guards are recommended to protect against bruxism.
Estimated 5-year maintenance costs range from 10-20% of the initial treatment price, depending on patient hygiene and clinical follow-ups, often included in clinic warranties like VK Smile Studio’s.
Travel Timelines (Days and Number of Trips)
Removable dentures require one trip, while implant-supported overdentures and fixed All-on-4/6/8 treatments involve two trips due to healing and prosthesis fabrication.
Comparison Table
Both options improve chewing efficiency, comfort, and aesthetics compared to conventional removable dentures.
Aspect
Overdentures
Fixed All-on-4/6/8 Bridges
Comfort
Moderate to high
Very high
Diet
Varied; avoid very hard foods
Near-natural; eat all foods
Hygiene
Removable, easy to clean
Fixed; requires meticulous cleaning
Maintenance
Clip and liner replacements, relines
Screw checks, occasional repairs
Travel
Two trips; shorter durations
Two trips; longer first visit
5-Year Cost
Moderate maintenance costs
Slightly higher, but more durable
Step-by-Step: From Try-In to Final Fit (7–10 Days)
Understanding the treatment journey simplifies planning and sets realistic expectations, particularly for travel and recovery during dental tourism in Turkey.
For removable dentures, this timeline applies:
- Day 1: Initial consultation, oral examination, panoramic X-ray/CBCT scan, and dental impressions.
- Days 2-3: Laboratory fabrication commences, including bite registration and wax try-in preparations.
- Day 4: Wax try-in appointment to assess fit, appearance, and bite; adjustments are made as necessary.
- Days 5-7: Final dentures are fabricated using CAD/CAM milling or 3D-printed dentures with premium materials.
- Days 8-10: Final fitting, bite adjustments, polishing, and patient education on denture care and maintenance.
For implant-retained snap-in overdentures:
- First trip (approximately 6-8 days): Consultation, implant surgery, placing 2-4 implants per arch, temporary denture fitting, post-surgical care, and healing monitoring
- Healing period (3-4 months): Osseointegration phase, in which implants fuse to the jawbone; patients use temporary prosthetics
- Second trip (3-5 days): Final impressions, denture fabrication, and attachment of locator/bar overdentures or fixed hybrid bridges
For fixed All-on-4, All-on-6, or All-on-8 bridges:
- First trip (6-8 days): Implant placement surgery (4, 6, or 8 implants per arch), immediate provisional bridge placement, and initial recovery
- Healing and monitoring phase (3-6 months)
- Second trip (3-5 days): Final bridge fabrication and placement, occlusion adjustments, and detailed aftercare instructions
This structured timeline balances clinical excellence with patient convenience, an essential factor in successful dental tourism journeys in Turkey.
Aftercare & Longevity (Cleaning, Relines, Checks)
Proper aftercare is essential for maintaining the function and durability of dentures and safeguarding oral health.
Avoid hard, chewy or sticky foods for the first few days to prevent irritation or loosening. Mild pain or swelling is normal and can be managed with prescribed medication and cold compresses.
Clean dentures daily by removing them at night to soak in a cleaning solution, and brushing gently each morning with a soft denture brush and lukewarm water. Avoid hot water to prevent warping. Rinse thoroughly before wearing.
For implant-retained overdentures, clean around implants using soft brushes and floss or a water flosser. Inspect attachment components regularly and report any signs of wear.
When it comes to relining or rebase options, they may be necessary every one to three years to maintain fit as gums and bone change. Regular maintenance/reline/soft liner check-ups are essential to accommodate changes in the gums and prevent discomfort.
Wearing night guards is strongly advised for fixed bridges to protect against damage from teeth grinding or clenching.
Read our full dentures aftercare guide
Safety & Regulation in Turkey (Patient Checklist)
Choosing Turkey for dental treatment offers world-class care under strict safety and regulatory standards. Always ensure your clinic is on the Health Türkiye authorized provider list and complies with TDB guidance.
Clinics must register with the Turkish Ministry of Health and pass audits to maintain licensing.
Before treatment, request:
- A clear treatment plan detailing procedures, timeline, and costs
- Official consent forms outlining risks and benefits
- Warranty documents, specifying materials, implants (with brand and lot numbers), and procedures
- An itemised invoice covering all treatments and product details for traceability
International standards such as the European Union Medical Device Regulation (EU MDR) and ISO certifications (e.g., ISO 20795-1 for denture polymers) validate quality assurance.
Check clinic reviews, dentist credentials, and before-and-after galleries to avoid unlicensed providers. These steps help guarantee a safe, effective, and legally protected dental experience in Turkey.
Posted on Kel EdoTrustindex verifies that the original source of the review is Google. They were very helpful and professional. They listened to any concerns about teeth and they installed the dental implants wellPosted on Khai chiew YewTrustindex verifies that the original source of the review is Google. I found this clinic in Face book, alican and aybuke ,they are the very good dentist DR,and they try to explain everything to me,to have confidant in this dental treatment,thank youPosted on Nikita FisherTrustindex verifies that the original source of the review is Google. Really really good I’m happy with my treatmentPosted on Paula JohnsonTrustindex verifies that the original source of the review is Google. VK SMILE Studio could not fault them. brilliant from start to finish. Highly recommend.my husband had a brilliant experience no pain from start to finish. They proper take care of you. 5***** even the after care is amazingPosted on Kathleen KingTrustindex verifies that the original source of the review is Google. The whole experience at VK Smile has been wonderful from arriving from the plane and starting my treatment the very next morning!! Brilliant kind happy staff, it is so clean and very professional.Posted on Mark WorrallTrustindex verifies that the original source of the review is Google. The guys at VK took great care of me. From Ali who communicated and reassured me from on WhatsApp in the Uk to Altan the driver to Dr Root Canal (Elif.) Everybody was great. Thanks VK!!Posted on Charli Damelio EditsTrustindex verifies that the original source of the review is Google. Perfect from start to finish will communication and staff. Lovely modern clinic with all the best upto date equipment. My experience with VK smile has been nothing but 10 out of 10 Well what a fantastic experience from the very first contact through to the finished article. I 100% would recommend VK smile to anyone that wants a seamless experience and ultimately a fantastic new smile. Every single member of staff has your interests at heart and do everything they can for you and go over and above if needed. Nothing is too much trouble. Visit VK smile and change your life.Posted on Julia CorriganTrustindex verifies that the original source of the review is Google. I had a great experience. Everything was easy as they send cars to get you, you have people greeting you and the dentistry is top. The clinic is very clean and so efficient. It's a big thing, but there was minimal pain. I felt I was in expert hands. Highly recommended. I can't wait to get my permanent teeth!!! I've just had my teeth totally finished by Deniz. The end result is so good, so natural that I'm ecstatic! Fantastic all round. I can't say "wow" loudly enough! Thank you to all involved at VK Smile. Amazing!Posted on Radu GodeanuTrustindex verifies that the original source of the review is Google. Absolutely amazing people here at VK Smile Antalya. The most professional crowd. Happy to be part of the big VK Smile family of happy customers. Thank you VK SmilePosted on Ewelina SmysloTrustindex verifies that the original source of the review is Google. Moja wizyta w klinice przebiegła pomyślnie😉 Jestem zadowolona i polecam z czystym sercem ❤️
Why choose VK Smile Studio (Proof Pack)
Selecting the right clinic is key to the success and satisfaction of your cosmetic denture treatment in Turkey. Our clinic offers comprehensive care from consultation to aftercare, supported by expert teams and advanced technology.
Our in-house dental laboratory uses state-of-the-art CAD/CAM milling and 3D printing for precise dentures and implant prostheses, ensuring faster turnaround and superior accuracy than traditional methods.
We hold regular UK/Europe meet-ups before and after your trip for consultations, adjustments, and aftercare, minimising additional travel. Our concierge team arranges airport transfers, hotel bookings, and language support, ensuring a smooth dental holiday.
Our Prices List and Packages List provide transparent costs, including accommodation and transfers.
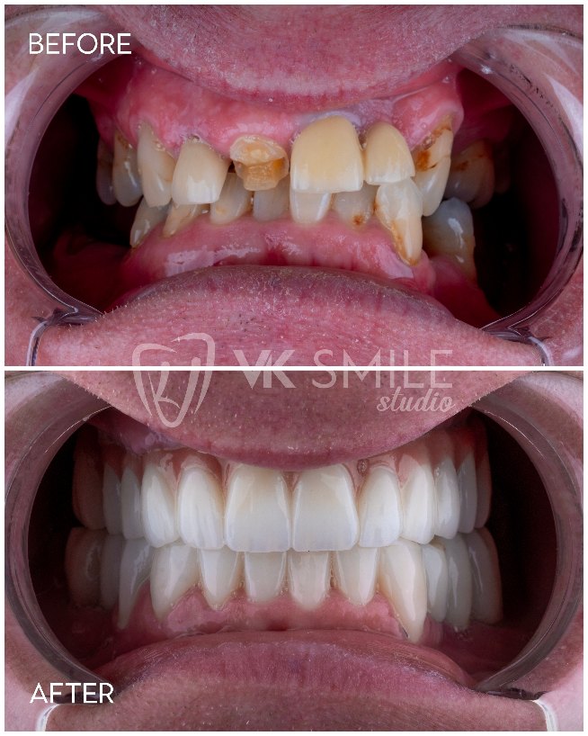
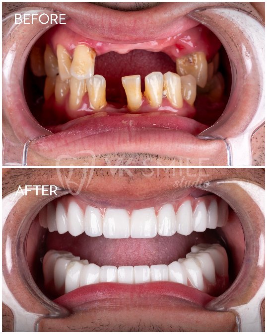
Visit our Before & After Gallery, showcasing over six successful cases, including implant overdentures and fixed All-on-4/6 bridges, demonstrating our commitment to patient satisfaction and quality outcomes.
FAQ
How much does it cost for a full set of dentures in Turkey?
Costs vary based on materials, implants, and clinic location.
Basic removable acrylic dentures start around 15,000 TRY (€700 / £600 / $750),
while implant-retained overdentures range from 25,000 – 60,000 TRY (€1,100 – €2,600 / £1,000 – £2,400 / $1,200 – $2,900).
Fixed All-on-4/6/8 solutions cost between 40,000 – 130,000 TRY (€1,800 – €5,800 / £1,600 – £5,200 / $2,000 – $7,000).
Prices are updated monthly via Turkish Central Bank (CBRT) exchange rates and adjusted for inflation, ensuring transparency.
Comprehensive Antalya packages, including accommodation and transfers, offer excellent value.
Are cosmetic dentures in Turkey durable enough for tough foods?
Yes. Combining implant technology and premium materials provides sufficient bite force and durability for varied diets, including tougher foods like steak and crusty bread.
Fixed full-arch restorations (All-on-4/6/8) deliver bite forces approximating 70-90% of natural teeth, improving chewing over conventional dentures. Materials such as zirconia or high-quality PMMA are stain-resistant and long-lasting, complying with ISO 20795-1 standards.
Snap-in overdentures or All-on-4 in Turkey: which suits heavy chewers?
Fixed All-on-4 bridges provide the highest bite force and stability, ideal for heavy chewers seeking maximum performance and longevity. Snap-in overdentures offer improved stability over removable dentures but require more frequent maintenance for locator attachments and liners. Both options enhance dietary variety and confidence compared to traditional dentures.
How many days in Turkey for dentures vs snap-in vs All-on-4?
Removable dentures require one visit lasting 7-10 days. Snap-in overdentures need two trips: 3-5 days for implant surgery and healing, then 3-5 days for prosthesis delivery.
All-on-4/6/8 treatments require 6-8 days for surgery and provisional bridge placement, followed by a 3-5-day second trip for final fittings. These timelines align with usual healing phases and laboratory fabrication schedules.
What’s the real 5-year cost of cosmetic dentures in Turkey?
Including initial treatment, routine maintenance (relines, screw checks), hygiene visits, repairs, and travel, total 5-year costs remain lower than the UK or European alternatives. VK Smile Studio offers warranty checks and maintenance plans aligned with NHS and ADA protocols.
Do they do dentures in Turkey for metal-allergy patients?
Yes, flexible nylon dentures and implant-retained locator/bar overdentures with minimal or no metal components are preferred for patients with metal allergies. These options maintain aesthetic and functional excellence without allergic reactions.
Is it worth going to Turkey to get teeth done?
Turkey leads dental tourism in 2025 thanks to advanced technology, expert clinicians, and cost savings of up to 70%. Licensed providers comply with Health Türkiye regulations and offer transparent pricing with patient-centred care. Combining treatment with travel makes Turkey a top destination for dental patients worldwide.
Where is the cheapest place to get dentures in the world?
Turkey is the best value destination for dentures, balancing costs, quality, and comprehensive health tourism infrastructure. While other countries offer lower prices, Turkey’s modern dentistry, regulation, and luxury service packages provide unmatched overall value.
Final CTA
Embarking on your journey to a beautiful, functional smile has never been easier or more affordable. With cosmetic dentures in Turkey, you gain access to world-class dental expertise, cutting-edge technology, and personalised care tailored to your individual needs. At our clinic, we combine innovation, comfort, and transparency to provide dentures that enhance your confidence and quality of life.
Whether considering traditional dentures, implant-retained overdentures, or fixed All-on-4/6/8 options, our experienced team in Turkey supports you through every step, from consultation to aftercare. Discover the convenience of Antalya dental packages, comprehensive warranties, and the UK/Europe’s meet-up services that make your treatment seamless and stress-free.
Start your transformation today with VK Smile Studio, your trusted partner for affordable and reliable dentures in Turkey.
Speak to our prosthodontist team today

















